切换至 "中华医学电子期刊资源库"
高级检索
图表检索
导航切换
中华普通外科学文献(电子版)
首页
优先出版
当期目录
过刊浏览
音视频
期刊介绍
期刊介绍
稿约
数据库收录
读者指南
常见问题
Email Alert
编委会
订阅
图/表 说明
高级检索
期刊
DOI
请选择
Chin Med Multimedia Press
中华产科急救电子杂志
中华肥胖与代谢病电子杂志
中华肺部疾病杂志(电子版)
中华妇幼临床医学杂志(电子版)
中华肝脏外科手术学电子杂志
中华关节外科杂志(电子版)
中华肩肘外科电子杂志
中华结直肠疾病电子杂志
中华介入放射学电子杂志
中华口腔医学研究杂志(电子版)
中华老年病研究电子杂志
中华老年骨科与康复电子杂志
中华临床实验室管理电子杂志
中华临床医师杂志(电子版)
中华脑科疾病与康复杂志(电子版)
中华脑血管病杂志(电子版)
中华普通外科学文献(电子版)
中华普外科手术学杂志(电子版)
中华腔镜泌尿外科杂志(电子版)
中华腔镜外科杂志(电子版)
中华乳腺病杂志(电子版)
中华疝和腹壁外科杂志(电子版)
中华神经创伤外科电子杂志
中华肾病研究电子杂志
中华实验和临床感染病杂志(电子版)
中华损伤与修复杂志(电子版)
中华危重症医学杂志(电子版)
中华卫生应急电子杂志
中华胃肠内镜电子杂志
中华胃食管反流病电子杂志
中华细胞与干细胞杂志(电子版)
中华消化病与影像杂志(电子版)
中华心脏与心律电子杂志
中华胸部外科电子杂志
中华眼科医学杂志(电子版)
中华医学超声杂志(电子版)
中华移植杂志(电子版)
中华针灸电子杂志
中华诊断学电子杂志
中华重症医学电子杂志
起始年
结束年
请选择
2005
2006
2007
2008
2009
2010
2011
2012
2013
2014
2015
2016
2017
2018
2019
2020
2021
2022
2023
2024
2025
2026
请选择
2026
2025
2024
2023
2022
2021
2020
2019
2018
2017
2016
2015
2014
2013
2012
2011
2010
2009
2008
2007
2006
2005
卷
期
作者
作者单位
发表年度
Loading ...
期刊
Loading ...
图2. 囊性幼年型粒层细胞瘤患者病理学及分子检测图像注:a图示病变完全呈囊性,囊壁深部可见肿瘤细胞巢(箭头所示)(HE ×20);b图示肿瘤细胞呈滤泡样、巢团状排列,滤泡内含嗜碱性或嗜酸性分泌物(箭头所示)(HE ×100);c图示部分区域肿瘤细胞呈实性片状排列,瘤细胞具有轻-中度的异型性(HE ×400);d图示肿瘤细胞Melan A呈阳性(DAB ×200);e图示肿瘤细胞CK呈阳性(DAB ×200);f图示肿瘤细胞INHA呈阳性(DAB ×200);g图示肿瘤细胞巢周围网状纤维染色呈阳性,而不是单个瘤细胞周围(×200);h图示分子检查,未检出
FOXL
2基因c.402 C>G突变(标黄字母)。Melan A为黑色素A;CK为细胞角蛋白;INHA为抑制素α
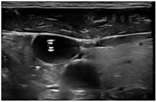
图1. 囊性幼年型粒层细胞瘤患者超声检查图像注:a图为病例1检查图像,盆腹腔内见20.6 cm × 20.9 cm × 9.7 cm液性暗区,包膜完整,厚0.37 cm(红色圈区域);b图为病例2检查图像,盆腹腔内见19.8 cm × 9.6 cm × 12.4 cm液性暗区,包膜完整,厚0.2 cm(红色圈区域)
表6. 影响T2DM患者并发DR因素的Logistic回归分析
表5.
ApoE
不同等位基因DR组患者的血脂水平比较(mmol/L,
±
s
)
表4. 两组
ApoE
等位基因频率比较[例(%)]
表3. 两组患者
ApoE
基因型分布(例)
表2. 两组患者血脂水平比较(mmol/L,
±
s
)
表1. 两组患者基线资料比较
图4. Loffler心内膜炎患者治疗前后磁共振增强扫描对比图像注:a为治疗前图像,右心室心内膜下线状延迟强化(箭头所示),提示活动性炎症与纤维蛋白沉积,伴心腔明显缩小、近乎闭塞;b为治疗后图像,原右心室心内膜延迟强化范围显著缩小、信号减弱(箭头所示),右心形态及心腔大小亦趋于恢复正常
图3. Loffler心内膜炎患者超声心肌声学造影检查图像注:a图心内膜明显增厚(箭头所示);b图增厚的心内膜表现为延迟强化(箭头所示)。RV为右心室;LV为左心室;RA为右心房;LA为左心房;IVS为室间隔
图2. Loffler心内膜炎患者治疗前后超声心动图(右心室流出道切面)对比图像注:a为治疗前图像,心内膜明显增厚(箭头所示),致右心室流出道狭窄;b为治疗后图像,心内膜厚度较前明显变薄(箭头所示),右心室形态及右心室流出道已趋于恢复正常。RA为右心房;RVOT为右心室流出道
图1. Loffler心内膜炎患者治疗前后超声心动图(四腔心切面)对比图像注:a为患者治疗前图像,右心室心内膜显著增厚,致右心腔近乎闭塞(箭头所示);b为患者治疗后图像,右心室心内膜厚度较前明显变薄(箭头所示),右心形态及心腔大小逐步恢复正常。RA为右心房;RV为右心室;LA为左心房;LV为左心室
表6. LVEDD、LVESD、LVEF、cTnI、NT-proBNP对多发伤后心肌损伤的预测效能
图1. LVEDD、LVESD、LVEF、cTnI、NT-proBNP诊断预测多发伤后心肌损伤的ROC曲线注:LVESD为左心室收缩末期内径;LVEDD为左心室舒张末期内径;LVEF为左心室射血分数;cTnI为肌钙蛋白I;NT-proBNP为N末端B型利尿钠肽前体;ROC为受试者操作特征
表5. 多发伤后心肌损伤患者LVEDD、LVESD、LVEF与cTnI、NT-proBNP的相关性分析
表4. 多发伤后不同心肌损伤程度组LVEDD、LVESD、LVEF、cTnI、NT-proBNP水平比较(
±
s
)
表3. 两组LVEDD、LVESD、LVEF、cTnI及NT-proBNP水平比较(
±
s
)
表2. 多发伤后不同心肌损伤程度组一般资料比较
表1. 多发伤后心肌损伤组与多发伤未合并心肌损伤组临床资料比较
图2. 病例11新生儿肠旋转不良合并中肠扭转的超声声像图及术中小肠图像注:a图为肠管的"咖啡豆征";b图腹主动脉长轴前方可见不均质回声,并可见肠系膜上动脉血流信号突然中断,即"切断征";c图为肠管扩张;d图为肠壁增厚;e图为术中探查证实肠旋转不良(箭头所示)
跳至
页
第1页
共5649页
共112961条记录
首页
上一页
下一页
尾页
版权所有 中华医学会 中华医学电子音像出版社有限责任公司 京ICP备14006079号-1 网络出版服务许可证:(署)网出证(京)字第075号
AI
小
编
AI小编
你好!我是《中华医学电子期刊资源库》AI小编,有什么可以帮您的吗?