切换至 "中华医学电子期刊资源库"

中华普通外科学文献(电子版) ›› 2022, Vol. 16 ›› Issue (04) : 282 -285. doi: 10.3877/cma.j.issn.1674-0793.2022.03.005

论著

婴幼儿颈部通路体外膜肺氧合相关性出血并发症分析
张明光1,(), 李斌飞2, 吴少花2   
  1. 1. 528400 中山市人民医院血管外科
    2. 528400 中山市人民医院麻醉科
  • 收稿日期:2022-03-30 出版日期:2022-08-01
  • 通信作者: 张明光
  • 基金资助:
    中山市科技局基金项目(2020B1127)

Bleeding complications in infants undergoing extracorporeal membrane oxygenation with cervical intubation

Mingguang Zhang1,(), Binfei Li2, Shaohua Wu2   

  1. 1. Department of Vascular Surgery, Zhongshan City People’s Hospital, Zhongshan 528400, China
    2. Department of Anesthesiology, Zhongshan City People’s Hospital, Zhongshan 528400, China
  • Received:2022-03-30 Published:2022-08-01
  • Corresponding author: Mingguang Zhang
引用本文:

张明光, 李斌飞, 吴少花. 婴幼儿颈部通路体外膜肺氧合相关性出血并发症分析[J/OL]. 中华普通外科学文献(电子版), 2022, 16(04): 282-285.

Mingguang Zhang, Binfei Li, Shaohua Wu. Bleeding complications in infants undergoing extracorporeal membrane oxygenation with cervical intubation[J/OL]. Chinese Archives of General Surgery(Electronic Edition), 2022, 16(04): 282-285.

目的

研究婴幼儿颈部通路体外膜肺氧合(ECMO)所致出血并发症及转归。

方法

回顾性分析2009年9月至2021年1月期间在中山市人民医院行颈动静脉插管ECMO治疗的21例婴幼儿临床资料。观察ECMO运行期间和撤机后血小板、凝血功能和出血并发症情况。

结果

ECMO建立后血小板计数明显下降,活化部分促凝血酶原激活时间(APTT)和活化全血凝固时间(ACT)快速升高,差异均有统计学意义(P<0.05)。出血并发症发生率为61.90%(13/21),包括颈部切口出血8例(38.10%)、肺出血7例(33.33%)、消化道出血5例(23.81%)、颅内出血3例(14.29%)、泌尿系统出血2例(9.52%)。出血组死亡率为38.46%(5/13),无出血组死亡率为25.00%(2/8)。

结论

婴幼儿颈部通路ECMO相关出血并发症较多。颅内出血在上机期间影响患儿生存,但撤机后基本可以恢复正常,无严重后遗症。

Objective

To study the complications and outcome of bleeding caused by cervical intubation during extracorporeal membrane oxygenation (ECMO) in infants.

Methods

A retrospective analysis was carried out of 21 infants treated with common carotid artery-internal jugular vein ECMO from September 2009 to January 2021 in Zhongshan City People’s Hospital. The data of platelet, coagulation and bleeding complications during and after ECMO were observed.

Results

Platelet was reduced, activated partial thromboplastin time (APTT) and activated clotting time of whole blood (ACT) were statistically increased before and during ECMO (all P<0.05). The incidence of bleeding complications was 61.90% (13/21), including 8 cases (38.10%) of neck incision bleeding, 7 (33.33%) of pulmonary hemorrhage, 5 (23.81%) of gastrointestinal bleeding, 3 (14.29%) of intracranial hemorrhage, and 2 (9.52%) of urinary bleeding. The mortality rate in the bleeding group and non-bleeding group was 38.46% (5/13) and 25.00% (2/8).

Conclusions

Bleeding complications caused by ECMO with cervical intubation is common in infants. Intracranial hemorrhage affects the survival of infants during ECMO, while all of them can return to normal after ECMO.

表1 ECMO治疗的21例婴幼儿出血相关资料比较
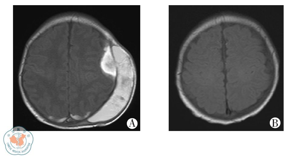
图1 颅内出血患儿头颅MRI图像 A为ECMO后4 d脑MRI示双侧顶枕部硬膜下、小脑幕下少许出血、左侧额颞部明显硬膜下血肿和头皮下巨大血肿;B为1个月后复查MRI示血肿基本吸收
[1]
Johnson K, Jarboe MD, Mychaliska GB, et al. Is there a best approach for extracorporeal life support cannulation: A review of the extracorporeal life support organization[J]. J Pediatr Surg, 2018, 53(7): 1301-1304.
[2]
Barbaro RP, Paden ML, Guner YS, et al. Pediatric extracorporeal life support organization registry international report 2016[J]. ASAIO J, 2017, 63(4): 456-463.
[3]
Aubron C, DePuydt J, Belon F, et al. Predictive factors of bleeding events in adults undergoing extracorporeal membrane oxygenation[J]. Ann Intensive Care, 2016, 6(1): 97.
[4]
Dalton HJ, Reeder R, Garcia-Filion P, et al. Factors associated with bleeding and thrombosis in children receiving extracorporeal membrane oxygenation[J]. Am J Respir Crit Care Med, 2017, 196(6): 762-771.
[5]
Saifee NH, Brogan TV, McMullan DM, et al. Monitoring hemostasis during extracorporeal life support[J]. ASAIO J, 2020, 66(2): 230-237.
[6]
Ozment CP, Scott BL, Bembea MM, et al. Anticoagulation and transfusion management during neonatal and pediatric extracorporeal membrane oxygenation: A survey of medical directors in the United States[J]. Pediatr Crit Care Med, 2021, 22(6): 530-541.
[7]
沈雯雯,陈尚华. 体外膜肺氧合相关性脑损伤的研究进展[J].中国急救医学2020, 40(2): 180-184.
[8]
Azapagasi E, Kendirli T, Tunçer GO, et al. Early neurologic complications and long-term neurologic outcomes of extracorporeal membrane oxygenation performed in children[J]. Klin Padiatr, 2022, 234(2): 96-104.
[9]
Hervey-Jumper SL, Annich GM, Yancon AR, et al. Neurological complications of extracorporeal membrane oxygenation in children[J]. J Neurosurg Pediatr, 2011, 7(4): 338-344.
[10]
Jamie W, Lakshmi R, Ali M. Anticoagulation and monitoring in pediatric extracorporeal membrane oxygenation[J]. Egypt J Crit Care Med, 2018, 6(3): 69-71.
[11]
Dhar AV, Scott S, Anton-Martin P, et al. Neurodevelopmental outcomes in extracorporeal membrane oxygenation patients: A pilot study[J]. ASAIO J, 2020, 66(4): 447-453.
[1] 张秋阳, 余韶芸, 潘向滢, 金家佳, 夏桦, 赵雪红. 成年体外膜肺氧合患者出血影响因素的Meta 分析[J/OL]. 中华危重症医学杂志(电子版), 2024, 17(05): 392-398.
[2] 章宇潇, 杨凡, 毛萌. 《生长减缓婴幼儿的追赶性生长:指导普通临床医师的专家共识(2023版)》解读[J/OL]. 中华妇幼临床医学杂志(电子版), 2024, 20(04): 361-366.
[3] 张丽娜, 邢建坤, 张梁, 李云生, 王兢, 孙丽莹, 朱志军. 婴幼儿活体肝移植受者术中麻醉护理单中心经验[J/OL]. 中华移植杂志(电子版), 2024, 18(04): 235-238.
[4] 霍枫, 李智霞, 季茹, 谭晓宇, 范晓礼, 叶啟发. 以循环标准判定死亡的遗体器官捐献分类标准、实施流程及需要注意的问题[J/OL]. 中华移植杂志(电子版), 2024, 18(04): 213-221.
[5] 中华医学会器官移植学分会. 体外膜肺氧合在遗体捐献供肾保护中的应用指南[J/OL]. 中华移植杂志(电子版), 2024, 18(03): 148-158.
[6] 魏丁, 乔艳艳, 顾兴, 张燕, 李艳燕, 钱卫生, 潘蕾, 高永恒, 金发光. 体外膜肺氧合救治急性呼吸窘迫综合征不良预后危险因素分析[J/OL]. 中华肺部疾病杂志(电子版), 2024, 17(03): 363-367.
[7] 王晓霞, 乌丹, 张江英, 乌雅罕, 郝颖楠, 斯日古楞. 《2023 年美国胸科学会关于成人急性呼吸窘迫综合征患者管理的临床实践指南更新》解读[J/OL]. 中华重症医学电子杂志, 2024, 10(04): 338-343.
[8] 周帅, 张庆海, 王新, 马晓艳, 孙建霞, 王海波, 张继红. 静脉-动脉体外膜肺氧合辅助下溶栓治疗急性高危肺栓塞一例[J/OL]. 中华重症医学电子杂志, 2024, 10(03): 298-302.
[9] 许浩, 罗亮. 体外膜肺氧合支持期间新发感染的研究进展[J/OL]. 中华重症医学电子杂志, 2024, 10(03): 292-297.
[10] 李文哲, 潘鹏飞, 崔建, 于湘友. 体外生命支持技术临床应用的伦理学问题[J/OL]. 中华重症医学电子杂志, 2024, 10(02): 97-101.
[11] 刘亮, 肖浩, 崔晓磊, 吕宝谱, 张睿, 郑拓康, 孟庆冰, 姚冬奇, 田英平, 高恒波. 急性心肌梗死合并心源性休克患者预后因素分析97例[J/OL]. 中华临床医师杂志(电子版), 2024, 18(02): 183-189.
[12] 田明达, 吴珺, 王会娟, 张欣, 沙玉英, 陈琳, 赵宾洋. 6297名0~3岁婴幼儿超声骨密度检测结果分析[J/OL]. 中华临床医师杂志(电子版), 2023, 17(06): 644-647.
[13] 朱镭, 朱庆义. 金氏菌属:引起婴幼儿侵袭性传染病的新发病原体[J/OL]. 中华临床实验室管理电子杂志, 2024, 12(04): 229-237.
[14] 陆东生, 谭家亮, 孙祯卿, 付东翔, 谷宇, 徐海通. 家族性烟雾病二例报告[J/OL]. 中华脑血管病杂志(电子版), 2024, 18(03): 270-273.
[15] 胡平, 鄢腾峰, 周海柱, 祝新根. 人工智能在非增强CT图像中颅内出血早期检出和血肿分割的研究进展[J/OL]. 中华脑血管病杂志(电子版), 2023, 17(04): 410-416.
阅读次数
全文


摘要


AI


AI小编
你好!我是《中华医学电子期刊资源库》AI小编,有什么可以帮您的吗?